The property and casualty insurance industry offers career opportunities for those wanting to...
Thimble’s Story

My kid, an avid sewing enthusiast working on a hand-sewn project, realized a quick break was in order to feed her cats, Button and Thimble.
She carefully wiggled the working needle into a fabric scrap and turned around for a quick second to fill their bowls.
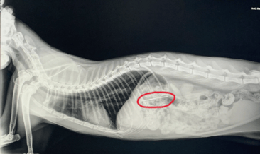
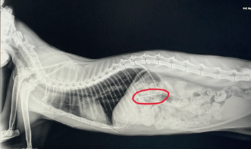
Next thing you know, Thimble had a thread hanging out of her mouth, and the needle was missing. Yep, the cat swallowed it.
Thimble was rushed to the 24-hour vet, who confirmed with an Xray the needle was stuck in Thimble’s digestive tract and would require an emergency endoscopy under anesthesia to remove it (using a magnet!).
The care plan estimate was almost $6,000, and the veterinarian required payment up front.

Luckily, my kid had recently purchased pet insurance coverage for both cats, and under the policy, “ingestion of a foreign body” was a covered loss.

The first year of the policy the premium was $25.50 per cat, per month, and the 2nd year of the policy it went up to $33 per cat, per month. The policy has a $500/year deductible, policy limit of $1M at 90% (10% co-pay).

The pet insurance policy reimbursed all but the deductible/co-pay for Thimble’s emergency care. So, the out-of-pocket expense was $1,040 instead of $5,900.
Pet Insurance made Thimble’s care more accessible, and Thimble, who despite her name is clearly not impervious to needles, made a full recovery and is back to her playful self.
About Pet Insurance
According to the 2023-2024 National Pet Owners Survey, 66% of U.S. households, or about 86.9 million families, own a “companion animal.” The pandemic increased the number of households with pets. Caring for our furry friends can be expensive when sick or injured.

According to the Bureau of Labor Statistics Consumer Price Index, Americans spent $38B on health care for pets in 2023 (up from $29B in 2019), and veterinary services costs have far outpaced the inflation rate.
Pet insurance is booming in the insurance industry. Unheard of or astronomically expensive just a few years ago, pet insurance has become mainstream and accessible thanks to:
- Innovations in coverage,
- The lengthening lives of domestic animals that require more care over their lifetime,
- Skyrocketing veterinary costs.
While pet insurance resembles health care coverage in terms of the covered perils, deductibles, co-pays, etc., it is technically categorized under “Property & Casualty” insurance because pets are considered property.
To sell pet insurance in most states requires a Property/Casualty license or, in a few states, a special, limited lines “Pet Insurance” License. Many pet insurance plans are sold via veterinary offices, but coverage is also available to purchase online or through personal lines agents. Pet insurance companies must be licensed by the state(s) where they do business.
It’s best to secure this coverage when the pet is young (under one year). In fact, pet insurance isn’t generally available to older pets unless they have been continuously covered since they were young.
There’s no Affordable Care Act for pets, so things like preexisting conditions are in play. For example, if a dog experiences an ACL tear that requires surgery, that will subsequently be considered a preexisting condition under the policy, and any future ACL surgeries will not be covered.
Coverage can be comprehensive (nose-to-tail!) or “accident only”; it may cover dental and/or wellness visits, end-of-life care, and a 24/7 helpline. Just like with auto policies, discounts are available for multi-pet households.
Purchasers can select different “maximum annual coverages” ranging from $10,000-$50,000, although some policies offer unlimited annual payouts. Co-pay percentages typically are 70%, 80% or 90%, and deductibles range from $100-$500.
Pet insurance policies are usually “reimbursement” policies, meaning the pet owner pays up front, and the company later reimburses for covered expenses. However, some pet insurance policies will pay the veterinarian directly.
Many of us consider our pets “family members”, so it makes sense to protect everyone in the family from catastrophic healthcare expenses using insurance. It’s definitely worth exploring the many available options with this coverage.
If you’re working in the Insurance Industry, be sure to educate yourself about the emerging pet insurance market. So far, California is the only state that includes questions about pet insurance coverage on the Property/Casualty exam and Personal Lines exam. ExamFX includes all the state-specific policy provisions, disclosure requirements, and penalties for violating pet insurance regulations in the California P&C and Personal Lines courses.
As other states add Pet Insurance as a required topic for licensing, ExamFX will add pertinent testable topics to our courses.
About the Author
Cynthia Davidson, CIC, ITP, SILA-F, CDEI
Cynthia is currently the Director, Insurance Content & Compliance at ExamFX.
A self-proclaimed insurance nerd, Cynthia has worked in producer licensing for 35+ years. She's been in the industry long enough to remember when licensing exams were taken with paper and pencil.
Cynthia is a Certified Insurance Counselor (CIC), Insurance Training Professional (ITP), SILA Fellow (SILA-F), and Certified Distance Education Instructor (CDEITM). Over the years, she's been a hands-on participant in much of the regulatory and industry evolution and has worked to drive increased efficiency and uniformity in producer licensing. As a subject matter expert for National Job Analysis and Exam Development, Cynthia has helped define topics included in state tests.
As an industry leader, she's a coveted speaker and panelist at industry conferences. She has served in leadership roles on the Boards of the Society of Insurance Trainers & Educators, the Securities & Insurance Licensing Association, the SILA Foundation, and the Insurance Regulatory Examiners Society Foundation. Cynthia is currently leading ExamFX's Insurance Content and Compliance team, delivering on efforts to ensure ExamFX licensing study materials remain current and exam-relevant.